スペクトル実験室 スペクトル画像集 身のまわりの世界 太陽と太陽系天体 観測装置と衛星 恒星と連星 銀河と宇宙 銀河系 銀河と宇宙 スペクトル用語集
身のまわりの世界
(Familiar World)

ここでは,光や色に関わる自然現象の一部と, 私たちの身のまわりでみられる X線や紫外線に関係した事柄を紹介します.

Yumi Yuki




夜空


さくら

自然放射能

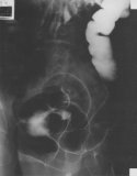
レントゲン

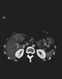
X線CT

放射光X線撮像

放射光

日焼け

サングラス

UVフィルター

オゾン層

放射線実験施設

Go to Menu